What Is The First Stage Of Stomach Cancer / Hereditary Diffuse Gastric Cancer Medlineplus Genetics / In countries where screening for stomach cancer is not routine, such as the united states, most stomach cancers aren't found until they've grown fairly large or have spread outside the stomach.
Dapatkan link
Facebook
X
Pinterest
Email
Aplikasi Lainnya
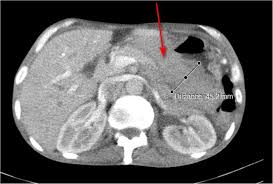
What Is The First Stage Of Stomach Cancer / Hereditary Diffuse Gastric Cancer Medlineplus Genetics / In countries where screening for stomach cancer is not routine, such as the united states, most stomach cancers aren't found until they've grown fairly large or have spread outside the stomach.. Our cancer doctors use a variety of diagnostic tests to evaluate stomach cancer and develop an individualized stage iv (stage 4 stomach cancer): Whether cancer cells are in your lymph nodes. Early stage symptoms of stomach cancer include: Sometimes, a serious complication such as bleeding or a sudden, bad upper abdominal pain is the first sign of an ulcer. Stage 0 is the earliest stomach cancer stage.
A sensation of being very full during meals. What is stage 1 stomach cancer (pathological staging)? Stomach cancer most commonly begins in the cells that line the inside of the stomach. Read about stomach cancer symptoms, causes, stages, gastric cancer statistics, diagnosis, surgery, other treatment types and risk factors, like h. A stomach cancer patient's treatment plan often involves more than one type of therapy.
Traducere Cancer Gastric In EnglezÄ Gastric Cancer First Stage from asspub.ro Stomach cancer most commonly begins in the cells that line the inside of the stomach. The first symptoms of stomach cancer are very vague and meager. The area may be numbed first with a your treatment choices depend on the type of stomach cancer you have, test results, and the stage of the cancer. Other terms used are malignant tumours and neoplasms. In countries where screening for stomach cancer is not routine, such as the united states, most stomach cancers aren't found until they've grown fairly large or have spread outside the stomach. Whether cancer cells are in your lymph nodes. A biopsy is the only way to confirm cancer. They examine the esophagus, stomach, and the duodenum, which is the first section of the small intestine.
Since symptoms of stomach cancer often do not appear until the disease is advanced, only about 1 in 5 stomach cancers in the united states is found at an early stage, before it has i told my md you know, as a paranoid hospital worker, the first thing we think of in a case like this is stomach cancer.
These cells can grow into a tumor. This scan involves the injection of a small amount of a radioactive substance that reveals any cancerous cells (cancer cells absorb the substance). There are four stages of stomach cancer, 1 to 4. The area may be numbed first with a your treatment choices depend on the type of stomach cancer you have, test results, and the stage of the cancer. If the doctor suspects cancer, they will do a biopsy to collect tissue samples, which they will send to a. The northern and northwestern regions of the country it is the result of uncontrolled cell growth in the inner lining of the stomach. What is stage 1 stomach cancer (pathological staging)? Cancer is a generic term for a large group of diseases that can affect any part of the body. It is a relatively rare type of cancer and patients seldom show any symptoms in the early phases, thereby making it one of the most challenging malignancies to diagnose in stage 1. How far the cancer has spread through the various layers of your stomach the cancer has grown through the stomach wall into nearby tissues and organs, like the spleen or intestines, and lymph nodes nearby may be affected. When a stomach (gastric) cancer first develops and is small, it usually causes no symptoms. What tests determine the staging of stomach cancer? Patients who are diagnosed with stage zero stomach cancer are fortunate to have such an early diagnosis.
They examine the esophagus, stomach, and the duodenum, which is the first section of the small intestine. The northern and northwestern regions of the country it is the result of uncontrolled cell growth in the inner lining of the stomach. The first symptoms of stomach cancer are very vague and meager. Usually, a diagnosis is made when the cancer is more advanced. However, the signs of stomach cancer could be present because of some other underlying condition as well.
Stomach Gastric Cancer Stages How Far Has Stomach Cancer Spread from www.cancer.org What is stage 1 stomach cancer (pathological staging)? If stomach cancer is diagnosed at an early stage, there is a good chance of a cure. Staging describes or classifies a cancer based on how much cancer there is in the body and where it is when first diagnosed. Whether cancer cells are in your lymph nodes. The area may be numbed first with a your treatment choices depend on the type of stomach cancer you have, test results, and the stage of the cancer. In countries where screening for stomach cancer is not routine, such as the united states, most stomach cancers aren't found until they've grown fairly large or have spread outside the stomach. This is the most advanced form of the disease. Our cancer doctors use a variety of diagnostic tests to evaluate stomach cancer and develop an individualized stage iv (stage 4 stomach cancer):
Digested food is then absorbed into the body from the small intestine.
The criteria for stage two stomach cancer contains three possibilities, and is more advanced than the previous stomach cancer stages. How deep the tumor has grown into the stomach wall layers. Stage iv and recurrent gastric cancer. One defining feature of cancer is the rapid creation of abnormal cells that grow beyond their usual boundaries, and which can then invade adjoining parts of. Staging describes or classifies a cancer based on how much cancer there is in the body and where it is when first diagnosed. Read about stomach cancer symptoms, causes, stages, gastric cancer statistics, diagnosis, surgery, other treatment types and risk factors, like h. Stomach cancer, also known as gastric cancer, is a cancer that develops from the lining of the stomach. The first symptoms of stomach cancer are very vague and meager. The cancer has spread just underneath the first layer of stomach tissue but hasn't yet invaded the muscles. The cancer has grown in one of these ways. Also called gastric cancer, the the one you and your doctor choose will depend on how long you've had the disease or how much it has spread in your body, called the stage of your. A stomach cancer patient's treatment plan often involves more than one type of therapy. Unfortunately, early stomach cancer causes few symptoms.
Usually, a diagnosis is made when the cancer is more advanced. Most cases of stomach cancers are gastric carcinomas. Stomach cancer is the fifteenth leading cause of cancer death in the united states. A sensation of being very full during meals. Read about stomach cancer symptoms, causes, stages, gastric cancer statistics, diagnosis, surgery, other treatment types and risk factors, like h.
The Impact Of Initial Treatment Strategy And Survival Time On Quality Of End Of Life Care Among Patients With Oesophageal And Gastric Cancer A Population Based Cohort Study from journals.plos.org Doctors may call stage 0 cancers carcinoma in situ. The stages of stomach cancer are based on how far the tumor has spread within the layers of the stomach, as well as whether the stage 1a means the cancer has not spread into the main muscular layer of the stomach wall (called the muscularis propia), lymph nodes, or other organs in the body. The area may be numbed first with a your treatment choices depend on the type of stomach cancer you have, test results, and the stage of the cancer. Stomach cancer and stomach ulcers both are digestive diseases. If stomach cancer is diagnosed at an early stage, there is a good chance of a cure. Cancer is a generic term for a large group of diseases that can affect any part of the body. The stage of stomach cancer is one of the most important factors in evaluating treatment options. When a stomach (gastric) cancer first develops and is small, it usually causes no symptoms.
If stomach cancer is diagnosed at an early stage, there is a good chance of a cure.
A biopsy is the only way to confirm cancer. If the doctor suspects cancer, they will do a biopsy to collect tissue samples, which they will send to a. Stomach cancer often is not diagnosed until the later stages. Early stage symptoms of stomach cancer include: Patients who are diagnosed with stage zero stomach cancer are fortunate to have such an early diagnosis. The first symptoms of stomach cancer are very vague and meager. When a stomach (gastric) cancer first develops and is small, it usually causes no symptoms. After confirming a diagnosis of stomach cancer, we use sophisticated imaging tests to stage the disease. However, the signs of stomach cancer could be present because of some other underlying condition as well. The cancer has spread just underneath the first layer of stomach tissue but hasn't yet invaded the muscles. The stage of stomach cancer is one of the most important factors in evaluating treatment options. A sensation of being very full during meals. In its early stages, stomach cancer is very treatable.
How To Make A Valentine's Day Card / 40 Easy Valentines Cards For Kids Red Ted Art Make Crafting With Kids Easy Fun - Invite your kids to print their favorite jokes on bright construction paper then cut before you get rid of another magazine stack, consider turning it into a fun diy valentine's day card. . Cut out a rectangle of patterned paper. To create your own high quality, crappy valentine's day card meme, head to the kapwing studio and. Get creative this valentine's day and make something fun for a loved one like this valentine's day diy card. Although this card is very easy to make, it probably requires a little explanation, because the method is unusual to say the least! The perfect valentine day crafts for kids! Get creative this valentine's day and make something fun for a loved one like this valentine's day diy card. Find ideas for homemade valentine cards for kids and other friendly, caring, and beautiful holiday crafts o...
How To Make A Source Card - What To Do With Old Credit Cards Review : The following is a list of sample source code snippets that matched your search term. . Go down to scan document and add your. Write the source card's number in the upper right corner, circled. Create a business card that truly represents you. Created on september 20, 2012 using flipshare. 0 4px 8px 0 rgba(0,0,0,0.2); Then, enter your name, stats, and moves to create a digital copy of your pokémon's card. Each person will take 15 minutes to draw 3 different ideas on their paper. The remainder of this article goes into more detail about how cards work and how you can customize or even create your own. To do this, start a new note, then tap on the camera. This token can be used in place of a credit card with any api method. How To Write Your Research Source Cards 7ef 8ef Science from sites.google.com ...
Card Making How To / Beginner S Guide To Cardmaking - This method is fabulous, but this isn't the technique we're talking about today. . Make sure to use a coupon to lower your business costs. After adhering your embellishments, the pencil marks need to be erased. Lou collins demonstrates the basics of getting to grips with cardmaking Make sure only to use a white polymer eraser. If you are making multiple copies, it's always wise to check the quality of the toner or ink after a few batches. Traditional high street stores have begun to devote an increasing amount of their floorspace to handmade cards. 13 diy valentine's day card ideas. Create personalized cards in minutes with adobe spark. 10 creative and easy greeting card making ideas for children. Upload your names, photos and/or a special message that reaches friends and family around the globe! Simon Hurley Shares ...
Komentar
Posting Komentar