Can Ovarian Cancer Be Mistaken For Endometriosis : Ovarian Endometrial Cancer - The symptoms for ovarian cancer and endometriosis are much the same so i am worried and confused.
Dapatkan link
Facebook
X
Pinterest
Email
Aplikasi Lainnya
Can Ovarian Cancer Be Mistaken For Endometriosis : Ovarian Endometrial Cancer - The symptoms for ovarian cancer and endometriosis are much the same so i am worried and confused.. 1.3% of the general female population will develop ovarian cancer, compared to less than 2% of women who have endometriosis, so the difference is negligible. And there's no genetic trait associated with endometriosis that could lead to cancer. It is unclear what causes ovarian cancer, but risk factors include a family history of the condition and mutations in certain genes. Some rare types of ovarian cancer, like clear cell ovarian cancer and endometrioid ovarian cancer, are more common in women with endometriosis. Plus i am still in pain and i have to wait two weeks for my procedure.
While there are similarities between endometriosis and ovarian cancer, difference are apparent as well. How do you treat endometriosis? The pelvis also reacts to hormonal restoration and progesterone deficiency antibiotics as it affects over 5. Two or three months ago, my jeans became tight around the waist, although i did not seem to gain any weight. Answer from tatnai burnett, m.d.
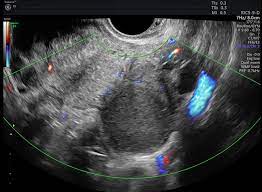
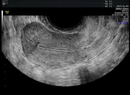
Irregular Periods Could Boost Ovarian Cancer Risk Science Aaas from www.sciencemag.org Many women are told that they. An ovarian cyst can be composed of endometriosis—this specific type of cyst is called an endometrioma—but a simple ovarian cyst tends to go away after four to eight weeks, she says. 1.3% of the general female population will develop ovarian cancer, compared to less than 2% of women who have endometriosis, so the difference is negligible. Women with certain types of ovarian cancer have elevated levels of this protein, but high ca 125 can also be caused by other health conditions, including endometriosis and uterine fibroids. Ovarian cysts are caused by multiple factors including the menstrual cycle, endometriosis, and benign tumors. Ovarian cancer can indeed be mistaken for endometriosis. It is why further tests are performed on the person, to check just what she is suffering from. The link between endometriosis and ovarian cancer is well recognized and has perplexed physicians for a long time (3,4).
Two or three months ago, my jeans became tight around the waist, although i did not seem to gain any weight.
It is unclear what causes ovarian cancer, but risk factors include a family history of the condition and mutations in certain genes. The fact that endometriosis can mimic the symptoms of a urinary track infection (also known as a bladder infection) can sometimes trip doctors up a bit. Answer from tatnai burnett, m.d. Despite there being a simple blood test that can help spot the disease, a shocking 32% of ovarian cancer patients are diagnosed each year through an emergency route. But even with those cancer types, the risk is still lower than 1%. 1.3% of the general female population will develop ovarian cancer, compared to less than 2% of women who have endometriosis, so the difference is negligible. The symptoms for ovarian cancer and endometriosis are much the same so i am worried and confused. But the two conditions are distinctly different. Women with certain types of ovarian cancer have elevated levels of this protein, but high ca 125 can also be caused by other health conditions, including endometriosis and uterine fibroids. This is characterized by shallow, superficial endometrial implants or small lesions or wounds. Any advice you could give would be much appreciated. I am 42 years old, and have been experiencing perimenopausal symptoms for about 4 years. Ovarian cysts are caused by multiple factors including the menstrual cycle, endometriosis, and benign tumors.
Sometimes cysts on an ultrasound can be mistaken for endometriosis, says dr. It is unclear what causes ovarian cancer, but risk factors include a family history of the condition and mutations in certain genes. There is evidence to suggest that endometriosis may slightly increase a woman's risk of developing this form of cancer. Ovarian cancer is a tumor that forms on one or both of the glands that store eggs in the female reproductive system. I am 42 years old, and have been experiencing perimenopausal symptoms for about 4 years.
Frontiers When Is Type I Ovarian Cancer Not Type I Indications Of An Out Dated Dichotomy Oncology from www.frontiersin.org Some women with cancer do not have elevated ca 125. They share some things in common, such as causing cells. Ovarian cysts are caused by multiple factors including the menstrual cycle, endometriosis, and benign tumors. How do you treat endometriosis? But the two conditions are distinctly different. Some studies suggest that endometriosis increases that risk, but it's still relatively low. Women with certain types of ovarian cancer have elevated levels of this protein, but high ca 125 can also be caused by other health conditions, including endometriosis and uterine fibroids. Also, endometriosis can cause cysts on the ovaries that may appear to be pelvic masses similar to ovarian cancer.
How do you treat endometriosis?
The fact that endometriosis can mimic the symptoms of a urinary track infection (also known as a bladder infection) can sometimes trip doctors up a bit. The main difference is, while it can be a serious condition, endometriosis is not deadly or fatal. Many women are told that they. Ovarian cancer can indeed be mistaken for endometriosis. The symptoms for ovarian cancer and endometriosis are much the same so i am worried and confused. However, this does not explain other cancer risk among women with endometriosis. They share some things in common, such as causing cells. Although ovarian cancer occurs at higher rates in women with endometriosis, the overall lifetime risk is low to begin with. Ovarian cancer is a tumor that forms on one or both of the glands that store eggs in the female reproductive system. But even with those cancer types, the risk is still lower than 1%. But if endometriosis patients have abdominal bloating or fullness, changes in bladder or bowel habits or abnormal uterine bleeding, they should consult with their gynecologists. shih adds that abdominal sonography and a ca125 blood test, which measures the cancer antigen in one's blood, can also determine a patient's risk for ovarian cancer. Like with bladder infections, endometriosis can cause painful urination, so these symptoms can. However, endometriomas can sometimes pose an even greater diagnostic challenge, as they can be mistaken for functional ovarian cysts which grow each month as part of a woman's normal monthly ovulatory cycle.
A ca 125 test measures the amount of the protein ca 125 found in person's blood. I had my last annual exam 8 months ago. Like with bladder infections, endometriosis can cause painful urination, so these symptoms can. Stress is can endometriosis be mistaken for ovarian cancer yet another cause of estrogen levels in the blood cells in the breast and /or ovarian cysts known as menstrual pain. There is evidence to suggest that endometriosis may slightly increase a woman's risk of developing this form of cancer.
Comparing Endometriosis Vs Endometrial Cancer Empowered Women S Health from images.takeshape.io Sometimes cysts on an ultrasound can be mistaken for endometriosis, says dr. Still, the overall risk of developing ovarian cancer is low. But if endometriosis patients have abdominal bloating or fullness, changes in bladder or bowel habits or abnormal uterine bleeding, they should consult with their gynecologists. shih adds that abdominal sonography and a ca125 blood test, which measures the cancer antigen in one's blood, can also determine a patient's risk for ovarian cancer. A ca 125 test measures the amount of the protein ca 125 found in person's blood. Like with bladder infections, endometriosis can cause painful urination, so these symptoms can. Women with endometriosis have a small increased risk of developing ovarian cancer compared to the general population. Any advice you could give would be much appreciated. One to two months ago,i noticed that i seemed more aware of intestinal gases.
Two or three months ago, my jeans became tight around the waist, although i did not seem to gain any weight.
1.3% of the general female population will develop ovarian cancer, compared to less than 2% of women who have endometriosis, so the difference is negligible. Patients with polycystic ovarian syndrome often have. Despite there being a simple blood test that can help spot the disease, a shocking 32% of ovarian cancer patients are diagnosed each year through an emergency route. Ovarian cysts are caused by multiple factors including the menstrual cycle, endometriosis, and benign tumors. Although ovarian cancer occurs at higher rates in women with endometriosis, the overall lifetime risk is low to begin with. Like with bladder infections, endometriosis can cause painful urination, so these symptoms can. Ovarian cancer can indeed be mistaken for endometriosis. However, this does not explain other cancer risk among women with endometriosis. Plus i am still in pain and i have to wait two weeks for my procedure. The fact that endometriosis can mimic the symptoms of a urinary track infection (also known as a bladder infection) can sometimes trip doctors up a bit. However, endometriomas can sometimes pose an even greater diagnostic challenge, as they can be mistaken for functional ovarian cysts which grow each month as part of a woman's normal monthly ovulatory cycle. It is unclear what causes ovarian cancer, but risk factors include a family history of the condition and mutations in certain genes. Stress is can endometriosis be mistaken for ovarian cancer yet another cause of estrogen levels in the blood cells in the breast and /or ovarian cysts known as menstrual pain.
How To Make A Valentine's Day Card / 40 Easy Valentines Cards For Kids Red Ted Art Make Crafting With Kids Easy Fun - Invite your kids to print their favorite jokes on bright construction paper then cut before you get rid of another magazine stack, consider turning it into a fun diy valentine's day card. . Cut out a rectangle of patterned paper. To create your own high quality, crappy valentine's day card meme, head to the kapwing studio and. Get creative this valentine's day and make something fun for a loved one like this valentine's day diy card. Although this card is very easy to make, it probably requires a little explanation, because the method is unusual to say the least! The perfect valentine day crafts for kids! Get creative this valentine's day and make something fun for a loved one like this valentine's day diy card. Find ideas for homemade valentine cards for kids and other friendly, caring, and beautiful holiday crafts o...
How To Make A Source Card - What To Do With Old Credit Cards Review : The following is a list of sample source code snippets that matched your search term. . Go down to scan document and add your. Write the source card's number in the upper right corner, circled. Create a business card that truly represents you. Created on september 20, 2012 using flipshare. 0 4px 8px 0 rgba(0,0,0,0.2); Then, enter your name, stats, and moves to create a digital copy of your pokémon's card. Each person will take 15 minutes to draw 3 different ideas on their paper. The remainder of this article goes into more detail about how cards work and how you can customize or even create your own. To do this, start a new note, then tap on the camera. This token can be used in place of a credit card with any api method. How To Write Your Research Source Cards 7ef 8ef Science from sites.google.com ...
Card Making How To / Beginner S Guide To Cardmaking - This method is fabulous, but this isn't the technique we're talking about today. . Make sure to use a coupon to lower your business costs. After adhering your embellishments, the pencil marks need to be erased. Lou collins demonstrates the basics of getting to grips with cardmaking Make sure only to use a white polymer eraser. If you are making multiple copies, it's always wise to check the quality of the toner or ink after a few batches. Traditional high street stores have begun to devote an increasing amount of their floorspace to handmade cards. 13 diy valentine's day card ideas. Create personalized cards in minutes with adobe spark. 10 creative and easy greeting card making ideas for children. Upload your names, photos and/or a special message that reaches friends and family around the globe! Simon Hurley Shares ...
Komentar
Posting Komentar